Dancong Tea is the "top student" among Oolong teas. Freshly picked tea leaves undergo a complex process, including sun-drying, shaking, and withering, to achieve their unique "nectar aroma."
However, Oolong Tea, known for its intense aroma and long-lasting brewing, rarely hits the market as quickly as green tea; instead, it can take up to six months to become available.
Recently, a research team from South China Agricultural University (SCAU) published a paper in the journal Foods titled "Low-Dose, Post-Storage Dancong Tea Attenuates Hydroalcohol-Induced Gastric Damage via Modulation Antioxidant and Anti-Inflammatory Pathways," revealing the secret behind Dancong Tea's late market release.

◆ Research Results
01. The Difference Between New and Aged Tea
Veteran tea drinkers may know that freshly brewed Dancong Tea can be quite irritating, causing some to experience stomach tightness or even diarrhea. However, drinking it after a few months can alleviate this irritation.
In the past, this was merely a matter of oral tradition, and no one could definitively explain the differences between new and aged teas.
The SCAU research team used testing instruments to analyze new and aged teas from the same batch and found that new tea contained higher levels of tea polyphenols, total flavonoids, and active compounds in the catechin family, such as EC, ECG, and GA.

However, these compounds are a double-edged sword: at high concentrations, they can burden the gastric mucosa and even trigger inflammatory responses.
In contrast, these compounds are significantly reduced in aged tea—tea polyphenols dropped to 15.88%, and the catechin monomers EC and ECG were also significantly reduced.

At the same time, aged tea contains relatively higher levels of theaflavins and thearubigins. Thearubigins in new tea make up only 1.48%, while those in aged tea more than double that. Theaflavins also increased from 0.036% to 0.043%.
These two ingredients are the key to Dancong Tea's "gentle" properties: they don't irritate the stomach, but rather help protect it from damage.
02. New Tea Harms the Stomach, Aged Tea Nourishes It
Ingredients alone aren't enough; the research team also conducted a "stomach damage test" on mice.
They administered hydrochloric acid and ethanol, causing acute gastric damage to the mice. They then fed them varying doses of new and aged tea to see which tea offered the best results.

The results were astonishing:
- Mice that drank a low dose of aged tea (equivalent to a human daily intake of 3-5g) experienced significantly fewer gastric ulcers, and previously necrotic and bleeding areas gradually healed, even approaching a healthy state.
- Mice that drank new tea (regardless of whether it was a low or high dose) experienced more severe gastric damage, with the area of mucosal necrosis even larger than that of mice that drank no tea.
- Even a high dose of aged tea (equivalent to a human daily intake of 10-12g) had no effect; significant gastric inflammation remained.

Furthermore, regardless of the dose of tea consumed, the mice's liver function markers (ALT and AST) remained unchanged, indicating that Dancong Tea does not affect liver health.
03. Aged tea activates antioxidants and eliminates inflammation
Why does a low dose of aged tea protect the stomach? The research team delved into the molecular mechanisms and discovered that the stomach actually "equips" itself with two protective systems:
First, stomach damage is largely due to "oxidative stress"—gastric acid and alcohol cause a large amount of reactive oxygen species (ROS) in the stomach, which damages the gastric mucosa.

Sour tea can activate the Nrf-2/HO-1 pathway in the stomach, increasing the body's production of "cleaners" like SOD and GSH to eliminate the ROS.
Experiments showed that mice that drank summer tea experienced a 35% reduction in ROS in their stomachs and a 41% reduction in lipid peroxidation products, effectively giving the gastric mucosa a protective layer.

Second, after stomach damage, the body initiates an inflammatory response, but an overly aggressive response can actually worsen the damage.
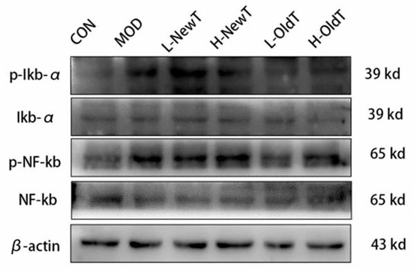
Sour tea can precisely inhibit the NF-κB pathway, reducing the release of inflammatory factors.

For example, it reduces the production of "inflammatory messengers" like IL-6 and TNF-α, and also reduces substances like iNOS and COX-2 that can exacerbate ulcers. At the same time, it also increases PGE2 (a substance that protects the mucous membrane) in the stomach, further helping to restore blood to the stomach.
Conclusion:
Now I finally understand why Dancong Tea, unlike green tea, doesn't "rush to market" and instead takes several months to arrive, isn't "slow" at all. Rather, it's "nurturing the tea"—through this period of processing and storage, the "stimulating ingredients" in the tea slowly transform into "stomach-protecting ingredients," transforming from a "stomach-scraping" new tea into a gentle, stomach-protecting aged tea.





